


Grave lesión en la mano de un policía cuando patrullaba la zona rural de Viedma: deberán resarcirlo
Policiales y Judiciales10/12/2025




Un policía rionegrino realizaba tareas de prevención en una zona rural. Para hacer un procedimiento intentó abrir la tranquera del campo cuando su mano derecha quedó atrapada entre un alambre y un poste. El accidente le causó un fuerte dolor y dificultad de movimiento en el dedo anular derecho.
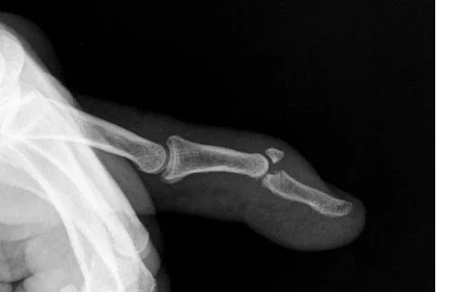
Inmediatamente se dirigió al Sanatorio Austral de Viedma, donde le diagnosticaron Mallet Finger en el dedo anular. En esta afección, el dedo queda en forma de martillo, con imposibilidad de enderezar la punta. Es causada por una lesión en el tendón extensor, que se rompe o arranca un pequeño fragmento óseo. Se realizó una intervención quirúrgica.
Más adelante le otorgaron el alta médica e informaron que tenía una incapacidad del 4,60%. El hombre no estuvo de acuerdo y pidió que se revise su situación.


La aseguradora negó los hechos relatados por el trabajador y desconoció la validez de la documentación presentada. Sostuvo que cumplió con todas las prestaciones médicas, que brindó los estudios y tratamientos correspondientes, incluida la cirugía, y que el alta se otorgó sin registrar secuelas incapacitantes.
La especialista a cargo del caso examinó al trabajador y concluyó que tenía un grado de incapacidad del 7,27%. Determinó la imposibilidad de extender activamente la punta del dedo anular, tal como se había observado el día del accidente.
La Cámara Laboral de Viedma analizó la prueba, realizó los cálculos correspondientes y condenó a la aseguradora a abonar al trabajador una suma de 19 millones de pesos.




Fuerte choque frontal en la Ruta Provincial 1: uno de los accidentados es Marcelo Barra
Policiales y Judiciales03/04/2026


Viedma: Asesinó y enterró a su amigo, pero fue absuelto tras confesar el crimen y comprobarse exceso en la legítima defensa
Policiales y Judiciales01/04/2026












Fuerte choque frontal en la Ruta Provincial 1: uno de los accidentados es Marcelo Barra
Policiales y Judiciales03/04/2026















